近日,西南医科大学附属医院胃肠外科联合泌尿外科等多学科团队,历经近5小时的“显微级”精准操作,成功为一位患者拆除了腹膜后一枚约19×17×10cm的巨大肿瘤,不仅完整切除肿瘤,还同步保住了部分肾脏功能,创造了生命的奇迹。
体检查出“巨型肿瘤”
手术风险堪比“走钢丝”
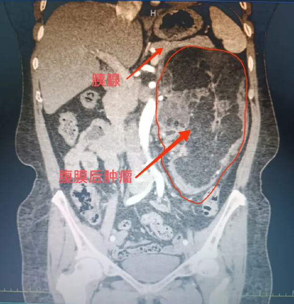
1个月前,闫女士在当地医院体检时,意外发现腹膜后藏着一枚巨大肿瘤。进一步检查显示,这枚肿瘤不仅体积较大,像藤蔓”一样紧紧缠绕着胰腺、左肾及肾血管——这些都是人体腹部的“关键命脉”,稍有不慎就可能引发大出血,甚至危及生命。
由于手术难度和风险过高,当地医院建议她尽快转往上级医院。抱着最后一丝希望,闫女士辗转来到西南医科大学附属医院,找到了胃肠外科主任杨庆强教授。


多学科“智囊团”会诊
量身定制手术方案
“肿瘤位置深、体积大,还与重要脏器血管紧密粘连,单纯靠一个科室很难完成手术。”杨庆强仔细研读影像资料后,精准判断出手术的核心难点。这枚肿瘤不仅尺寸较大,还将左肾推挤移位,与肾血管、胰腺的边界模糊不清,任何操作失误都可能导致难以控制的血管损伤。
为确保手术万无一失,杨庆强并未贸然制定方案,而是第一时间组织胃肠外科、泌尿外科、麻醉科、影像科等多学科专家开展会诊,像“拆弹专家”般反复推演手术方案。
从肿瘤切除的最佳路径、如何精准保护肾血管,到术后并发症的预防措施,每个细节都经过了充分讨论。最终,专家团队敲定了“腹膜后巨大肿瘤切除+左肾部分切除术”的个性化方案,由胃肠外科杨庆强教授团队联合泌尿外科李映川副教授,为手术成功筑牢“双保险”。
5小时“显微级”操作
成功拆除“腹内炸弹”
手术室里,杨庆强与李映川轮番上阵,手中的器械在显微镜般的精准操作下小心翼翼地移动。他们既要一点点分离肿瘤与胰腺、肾血管的粘连组织,避免血管破裂引发大出血,又要尽可能保留正常的肾脏功能,每一步都像在“刀尖上跳舞”。
经过近5小时的奋战,这枚困扰闫女士许久的“腹内炸弹”被完整切除,术中出血量远低于预期,胰腺、肾脏等关键脏器功能也得到了有效保护。当手术成功的消息传来,守候在手术室门外的家属终于松了一口气。

术后精细化护理
一周康复顺利出院
手术成功只是第一步,术后恢复同样关键。医护团队为闫女士制定了精细化的康复计划,术后24小时密切监测她的生命体征和腹腔脏器功能恢复情况。从营养支持到伤口护理,从饮食指导到健康宣教,每一个环节都细致入微。
幸运的是,闫女士术后并未出现任何并发症,恢复速度远超预期。一周后,各项检查指标均达到出院标准,她顺利踏上了回家的路。
此次高难度手术的成功,不仅是西南医科大学附属医院多学科协作模式的又一次生动实践,更展现了医院胃肠外科在复杂外科手术领域的实力。
对于川南地区乃至周边省市的疑难肿瘤患者来说,西南医科大学附属医院无疑是一剂“强心针”——在这里,总有一群敢于挑战“不可能”的医者,用精湛技术和仁心,为生命保驾护航。
医生简介>>



(西南医科大学附属医院 供稿)